مرکز تحقیقات قلب و عروق | مقالات

مرکز تحقیقات قلب و عروق | مقالات
سایت دانشگاه | 28 اردیبهشت 1405
logo

مرکز تحقیقات قلب و عروق

دانشگاه علوم پزشکی تهران

لیست اخبار صفحه :2
مهارکننده‌های SGLT2: افزایش‌دهنده هموگلوبین در نارسایی قلبی

مهارکننده‌های SGLT2: افزایش‌دهنده هموگلوبین در نارسایی قلبی

داروهای مهارکننده SGLT2، که برای درمان نارسایی قلبی استفاده می‌شوند، سطح هموگلوبین و هماتوکریت را در بیماران به طور قابل توجهی افزایش می‌دهند. این یافته از بررسی ۱۷ کارآزمایی بالینی با بیش از ۱۶ هزار بیمار به دست آمده و می‌تواند به بهبود وضعیت بیماران کمک کند.

هوش مصنوعی برای پیش‌بینی سکته در بیماران مبتلا به فیبریلاسیون دهلیزی

هوش مصنوعی برای پیش‌بینی سکته در بیماران مبتلا به فیبریلاسیون دهلیزی

مدل‌های یادگیری ماشین برای پیش‌بینی سکته در بیماران مبتلا به فیبریلاسیون دهلیزی فعلا عملکردی نزدیک به ابزارهای رایج دارند، اما برتری قانع‌کننده و قابل‌اعتماد برای استفاده روزمره در کلینیک نشان نداده‌اند.

نجات قلب با تصویربرداری پیشرفته: داستان غلبه بر لخته مکرر داخل استنت

نجات قلب با تصویربرداری پیشرفته: داستان غلبه بر لخته مکرر داخل استنت

یک مرد ۴۳ ساله با دیابت نوع ۲ تازه تشخیص‌داده‌شده و کلسترول بالا، علی‌رغم قرار دادن استنت داروئی در عروق قلب و مصرف بهترین داروهای ضدلخته، ظرف ۱۷ روز دو بار دچار لخته مکرر داخل استنت شد. اما وقتی پزشکان برای سومین بار از تصویربرداری OCT (توموگرافی همدوسی نوری) استفاده کردند، علت واقعی مشکل را پیدا کردند و با یک اقدام ساده اما دقیق، قلب بیمار را نجات دادند.

عارضه پنهان جراحی قلب: وقتی تعویض دریچه میترال، شریان قلب را ۱۵ سال بعد به دردسر می‌اندازد!

عارضه پنهان جراحی قلب: وقتی تعویض دریچه میترال، شریان قلب را ۱۵ سال بعد به دردسر می‌اندازد!

یک زن ۴۷ ساله که ۱۵ سال پیش به دلیل بیماری روماتیسمی قلب، دریچه میترالش تعویض شده بود، ناگهان دچار تنگی نفس و درد قفسه سینه شد. پزشکان با بررسی دقیق متوجه شدند یک آنوریسم (برآمدگی غیرطبیعی) در شریان کرونری دور قلب (LCX) ایجاد شده و با یک مجرای غیرطبیعی (فیستول) به سینوس کرونری متصل شده است. این عارضه بسیار نادر و ناشی از عمل جراحی قبلی بود. خوشبختانه با جراحی مجدد، مشکل برطرف شد و بیمار بهبود یافت. این اولین گزارش جهانی از این عارضه خاص است.

ماواکامتن در کاردیومیوپاتی هیپرتروفیک غیرانسدادی: چرا نتایج ODYSSEY-HCM مثبت نبود؟

ماواکامتن در کاردیومیوپاتی هیپرتروفیک غیرانسدادی: چرا نتایج ODYSSEY-HCM مثبت نبود؟

مطالعه بزرگ ODYSSEY-HCM نشان داد که ماواکامتن، دارویی که در کاردیومیوپاتی هیپرتروفیک انسدادی به‌کار می‌رود، در بیماران مبتلا به نوع غیرانسدادی این بیماری نتوانست برتری معناداری نسبت به دارونما در دو پیامد اصلی یعنی توان ورزشی و کیفیت زندگی ایجاد کند. با این حال، این دارو از نظر زیستی بی‌اثر نبود و اثرات فارماکودینامیک آن در کاهش برخی نشانگرهای استرس و آسیب میوکارد و نیز در بعضی شاخص‌های اکوکاردیوگرافیک دیده شد.

تأثیر غش بر زندگی

تأثیر غش بر زندگی

بارها پیش آمده که بعد از حمله غش (سنکوپ)، پزشک به شما گفته باشد «چیز مهمی نیست، خطرناک نیست.» اما شما خوب می‌دانید که ترس از حمله بعدی چطور می‌تواند یک زندگی عادی را فلج کند. حالا محققان، یک پرسشنامه معتبر را برای اولین بار به فارسی ترجمه و تایید اعتبار کرده‌اند تا پزشکان ایرانی بتوانند تاثیر واقعی این بیماری را بر زندگی روزمره شما اندازه بگیرند.

دیابت لزوما خطر یک‌ساله بعد از آنژیوپلاستی را بالا نمی‌برد.

دیابت لزوما خطر یک‌ساله بعد از آنژیوپلاستی را بالا نمی‌برد.

پژوهشی گسترده روی بیش از ۱۰ هزار بیمار نشان داد که پیش‌دیابت یا دیابت به‌تنهایی باعث افزایش معنادار خطر رخدادهای جدی قلبی در یک سال اول پس از آنژیوپلاستی (PCI) نمی‌شود. این یافته امیدبخش نشان می‌دهد که با درمان مناسب، حتی بیماران دیابتی نیز می‌توانند نتایج کوتاه‌مدت خوبی داشته باشند.

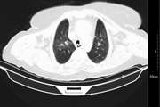
هوش مصنوعی؛ همراه مطمئن پزشکان در تشخیص آمبولی ریه

هوش مصنوعی؛ همراه مطمئن پزشکان در تشخیص آمبولی ریه

آمبولی ریه یا لخته خون در ریه از بیماری‌های خطرناکی است که اگر دیر تشخیص داده شود، می‌تواند جان بیمار را تهدید کند. بررسی نتایج ۲۸ مطالعه نشان می‌دهد هوش مصنوعی در تحلیل سی‌تی‌اسکن ریه دقت بسیار بالایی دارد و می‌تواند به پزشکان کمک کند تا موارد مشکوک را سریع‌تر و دقیق‌تر شناسایی کنند؛ با این حال، هنوز نمی‌توان آن را به‌تنهایی جایگزین نظر متخصص دانست.

تفاوت جنسیتی بیماری قلبی در حال کم شدن است!

تفاوت جنسیتی بیماری قلبی در حال کم شدن است!

بیماری قلبی ایسکمیک (انسداد عروق قلب) هنوز در مردان شایع‌تر است، اما زنان به سرعت در حال نزدیک شدن هستند. این مطالعه بزرگ جهانی نشان می‌دهد از سال ۱۹۹۰ تا ۲۰۲۱، شیوع و تعداد بیماران جدید در زنان نسبت به مردان افزایش یافته، ولی مرگ‌ومیر و بار سنگین بیماری در زنان بیشتر کاهش پیدا کرده است.

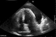
پریکاردیت انقباضی: عارضه قلبی نادر اما قابل درمان پس از پیوند سلول بنیادی

پریکاردیت انقباضی: عارضه قلبی نادر اما قابل درمان پس از پیوند سلول بنیادی

یک جوان ۲۵ ساله ایرانی، ۱۴ سال پس از پیوند سلول بنیادی به دلیل تالاسمی ماژور، به پریکاردیت انقباضی مبتلا شد؛ عارضه‌ای نادر از بیماری GVHD که با دارو بهبود نیافت؛ اما با جراحی پریکاردکتومی به‌طور کامل درمان شد و کیفیت زندگی‌اش به شکل چشمگیری بهتر گردید.

متن مورد نظر خود را جستجو کنید
تنظیمات پس زمینه