مرکز تحقیقات قلب و عروق | گزارش یک مورد نادر از تجمع مایع اطراف قلب ناشی از COVID-19 با تشخیص اشتباه به عنوان لخته خون در ورید گردن

مرکز تحقیقات قلب و عروق | گزارش یک مورد نادر از تجمع مایع اطراف قلب ناشی از COVID-19 با تشخیص اشتباه به عنوان لخته خون در ورید گردن
logo

مرکز تحقیقات قلب و عروق

دانشگاه علوم پزشکی تهران

  • تاریخ انتشار : 1404/07/27 - 09:34
  • : 48
  • زمان مطالعه : 1 دقیقه

گزارش یک مورد نادر از تجمع مایع اطراف قلب ناشی از COVID-19 با تشخیص اشتباه به عنوان لخته خون در ورید گردن

تورم گردن و تنگی نفس در بیمارهای ویروسی ممکن است ناشی از بیماری‌های کمتر شناخته‌شده‌ای مثل تجمع مایع اطراف قلب (افیوژن پریکاردی) باشد که با بیماری‌های رایج‌تر مثل لخته خون ورید گردن اشتباه گرفته می‌شود. درمان نادرست می‌تواند بسیار خطرناک باشد. پزشکان باید قبل از شروع درمان رقیق‌کننده خون، با استفاده از روش‌های دقیق تشخیصی مانند تصویربرداری‌های قلبی و ریه، تشخیص را تایید کنند تا از عوارض جدی جلوگیری شود.

 {faces}

در این مقاله، از تجربه‌ی درمان یک خانم ۸۳ ساله صحبت شده است که با علائمی غیرمعمول به اورژانس مراجعه کرده بود: تورم گردن، درد قفسه سینه و تنگی نفس.

در ابتدا تصور شد که او دچار "لخته خون در ورید گردن" شده و برای درمانش داروی رقیق‌کننده‌ی خون (هپارین) تجویز گردید. اما پس از چند ساعت حال او وخیم‌تر شد و مشخص گردید که علت اصلی بیماری، تجمع مایع در اطراف قلب است — حالتی خطرناک به نام «افیوژن پریکاردی» یا «تامپوناد قلبی». در واقع، تزریق داروی رقیق‌کننده خون باعث تشدید خونریزی دور قلب شده بود و اگر پزشکان به‌موقع عمل نمی‌کردند، می‌توانست منجر به شوک و مرگ شود.

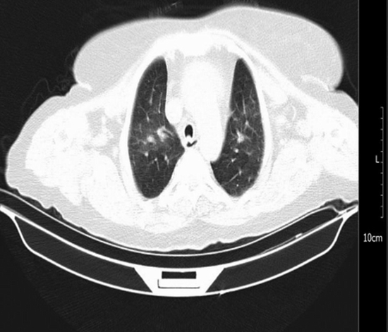
پزشکان با عمل جراحی اورژانسی، حدود یک لیتر خون از اطراف قلب بیمار خارج کردند و او به‌خوبی از عمل نجات یافت. بررسی‌های بعدی نشان داد که این وضعیت احتمالا به‌دلیل التهاب و عفونت ناشی از ویروس کرونا ایجاد شده بود. نکته مهم این بود که بیمار هیچ علامت معمولی از کرونا (مثل تب یا سرفه) نداشت، اما ویروس باعث التهاب در پرده قلب شده بود.

در دوران همه‌گیری‌ها یا عفونت‌های ویروسی، گاهی بیماری‌ها چهره‌ای متفاوت دارند و ممکن است با علائم بیماری‌های دیگر اشتباه شوند. در این مورد، تورم گردن ناشی از فشار مایع اطراف قلب، به‌اشتباه به‌عنوان لخته خون در رگ گردن تعبیر شده بود. بنابراین، محققان تاکید می‌کنند پیش از تجویز داروهای رقیق‌کننده خون باید از تشخیص خود اطمینان کافی داشت، زیرا در مواردی مانند این، درمان اشتباه می‌تواند خطرناک‌تر از خود بیماری باشد. همچنین انجام تصویربرداری‌های دقیق مانند سی‌تی‌اسکن و اکوکاردیوگرافی می‌تواند در تشخیص درست و نجات جان بیمار نقش حیاتی داشته باشد.

  • Article_DOI : 10.1186/s12245-024-00794-z
  • نویسندگان : amin bagheri,.and et al, pouya ebrahimi,morteza sheikhi nooshabadi
  • گروه خبر : واحد پژوهش ,تازه های علمی
  • کد خبر : 307384
محمد احمدیان
تهیه کننده:

محمد احمدیان

0 نظر برای این مطلب وجود دارد

ارسال نظر

نظر خود را وارد نمایید:

متن درون تصویر را در جعبه متن زیر وارد نمائید *
متن مورد نظر خود را جستجو کنید
تنظیمات پس زمینه