مرکز تحقیقات قلب و عروق | درد قفسه سینه در نوجوان: کشف غیبت مادرزادی پرده قلب

مرکز تحقیقات قلب و عروق | درد قفسه سینه در نوجوان: کشف غیبت مادرزادی پرده قلب
logo

مرکز تحقیقات قلب و عروق

دانشگاه علوم پزشکی تهران

  • تاریخ انتشار : 1404/09/29 - 16:18
  • : 13
  • زمان مطالعه : 2 دقیقه

درد قفسه سینه در نوجوان: کشف غیبت مادرزادی پرده قلب

یک دختر ۱۶ ساله با درد ناگهانی قفسه سینه به اورژانس مراجعه کرد و پزشکان پس از بررسی‌های پیشرفته، بیماری نادر غیبت مادرزادی پرده قلب سمت چپ را تشخیص دادند. این مورد نشان می‌دهد که دردهای ساده قفسه سینه گاهی نشانه‌ای از مشکلات ساختاری قلبی هستند و نیاز به تصویربرداری دقیق دارند.

 {faces}

غیبت مادرزادی پرده قلب (پریکارد آژنزی) یک بیماری نادر است که از هر ۱۰ هزار نفر، کمتر از یکی را مبتلا می‌کند. این مشکل از دوران جنینی ناشی می‌شود، جایی که پرده محافظ دور قلب (پریکارد) به طور کامل تشکیل نمی‌شود. معمولا بدون علامت است، اما می‌تواند با علائمی مثل درد قفسه سینه، تنگی نفس یا تپش قلب ظاهر شود.

در این گزارش موردی، یک نوجوان ۱۶ ساله دختر با درد تیز و غیرمرتبط با فعالیت بدنی به کلینیک مراجعه کرد. درد او ناگهانی شروع شد و با داروهای مسکن بهبود نیافت، اما هیچ علامت دیگری مانند سرگیجه یا تنگی نفس نداشت.

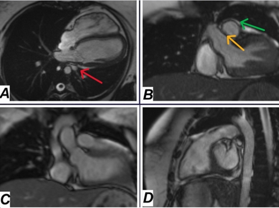
پزشکان ابتدا معاینه فیزیکی انجام دادند که طبیعی بود، سپس آزمایش‌های خون و نوار قلب (ECG) را بررسی کردند که تغییرات جزئی نشان داد. رادیوگرافی قفسه سینه (CXR) جابجایی قلب به سمت چپ را آشکار کرد. اکوکاردیوگرافی (TTE) موقعیت غیرعادی قلب را تایید کرد، اما برای تشخیص دقیق، از سی‌تی آنژیوگرافی (CTA) و ام‌آرآی قلب (CMRI) استفاده شد. این تصویربرداری‌ها نشان داد که پرده قلب سمت چپ کاملا غایب است، قلب به سمت چپ جابجا شده و ریه راست بیش از حد باد کرده، در حالی که ریه چپ کوچک‌تر است. خوشبختانه، هیچ عارضه‌ای مانند بیرون‌زدگی قلب یا فشار روی عروق وجود نداشت.

این بیماری اغلب با مشکلات دیگر قلبی مانند سوراخ بین دهلیزها (ASD) یا مشکلات مادرزادی همراه است، اما در این مورد، تنها بود. درمان معمولا محافظه‌کارانه است: نظارت منظم با اکو و MRI هر ۶ ماه، اجتناب از فعالیت‌های سنگین و توجه به علائم هشدار مانند درد شدید یا تنگی نفس. اگر عارضه‌ای مانند فتق قلب رخ دهد، جراحی (پریکاردیوپلاستی) لازم می‌شود. بررسی موارد مشابه نشان می‌دهد که بیشتر بیماران بدون علامت می‌مانند و با پیگیری منظم، زندگی عادی دارند.

نکات کاربردی:

  • اگر درد قفسه سینه بدون دلیل واضح (مانند سرماخوردگی یا ضربه) دارید، به ویژه اگر تکراری یا غیرمرتبط با فعالیت باشد، حتما به پزشک مراجعه کنید. این می‌تواند نشانه‌ای از مشکلات نادر قلبی باشد.

  • والدین نوجوانان توجه کنند: دردهای قفسه سینه در سنین پایین را جدی بگیرید و از بررسی‌های ساده شروع کنید.

  • پیشگیری: این بیماری مادرزادی است و قابل پیشگیری نیست، اما تشخیص زودهنگام با چک‌آپ‌های منظم قلبی می‌تواند عوارض را کاهش دهد.

این اطلاعات بر اساس گزارش موردی منتشرشده در سال ۲۰۲۵ است و می‌تواند به پزشکان کمک کند تا در موارد مشابه، سریع‌تر تشخیص دهند و به بیماران آرامش دهند.

  • Article_DOI : 10.1186/s13019-025-03364-3
  • نویسندگان : .and et al,pouya ebrahimi,maryam taheri,farshad jafari
  • گروه خبر :
  • کد خبر : 312820
محمد احمدیان
تهیه کننده:

محمد احمدیان

0 نظر برای این مطلب وجود دارد

ارسال نظر

نظر خود را وارد نمایید:

متن درون تصویر را در جعبه متن زیر وارد نمائید *
متن مورد نظر خود را جستجو کنید
تنظیمات پس زمینه