تجمع شدید مایع اطراف قلب به دلیل بیماری کبدی
یک مرد ۶۰ ساله ایرانی با سابقه هپاتیت خودایمنی و سیروز کبد، ناگهان با تنگی نفس شدید و درد سینه به اورژانس آمد – پزشکان متوجه شدند بیش از یک لیتر مایع اطراف قلبش جمع شده و قلب را تحت فشار مرگبار قرار داده است.

مشکل چیست؟
تامپوناد قلبی وضعیتی خطرناک است که مایع زیادی اطراف قلب جمع میشود و قلب را تحت فشار قرار میدهد، منجر به شوک یا مرگ میشود. این میتواند از سیروز کبد (زخم شدید کبد) ناشی شود که خودش از هپاتیت خودایمنی (حمله سیستم ایمنی به کبد) میآید. این مقاله داستان یک مرد ۶۰ ساله ایرانی با این مشکل را توصیف میکند.
داستان بیمار
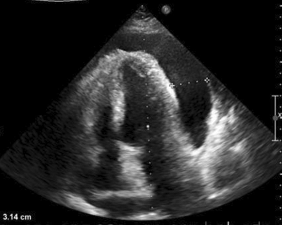
مرد ۶۰ ساله با سابقه ۵ ساله هپاتیت خودایمنی و سیروز کبد، با تنگی نفس شدید، درد سینه، بیقراری و ورم بدن (افزایش ۴ کیلوگرم وزن) به اورژانس آمد. علائم: زردی پوست، صدای خفه قلب، فشار خون ۱۱۰/۷۰، ضربان ۱۱۰ ضربه در دقیقه. آزمایشها: مشکلات شدید کبدی-کلیوی، قند خون بالا (۴۹۲). تصاویر: ۱۱۰۰ میلیلیتر مایع اطراف قلب.
درمان
پزشکان فوری مایع را با سوزن تخلیه کردند (۵۰۰ میلیلیتر خارج شد). داروها: دیورتیک برای دفع مایع، کورتیکواستروئید و سرکوبکننده ایمنی برای هپاتیت، بتابلوکر برای ضربان قلب، انسولین برای قند. نظارت مداوم بر قلب و کبد، ارزیابی برای پیوند کبد.
نتایج و درسها
بیمار بهبود یافت. هپاتیت خودایمنی شایع (۱۵ در ۱۰۰ هزار نفر، بیشتر زنان و مسنها) و میتواند به سیروز منجر شود (۳۰-۵۰ درصد موارد). درس: تشخیص زودرس با علائم مثل تنگی نفس ضروری است. درمان چندجانبه (قلب، کبد) جان را نجات میدهد. سبک زندگی سالم (ترک الکل/سیگار) پیشگیری میکند.
ارسال نظر